Welcome to your first visit
To ensure you don't feel rushed and have plenty of time to ask questions, we ask you to set aside about
45 minutes for this appointment. During your visit, we'll listen to your concerns and goals and outline
our recommendations. Together we'll decide on a treatment plan and schedule your treatment. We make sure
your visit is tailored for your individual needs.
Your consultation includes:
High-tech digital x-rays,
Intra oral photographs,
Oral cancer screening,
Dental health examination and explanation of findings, and
Ample time to discuss your treatment plan options and recommendations without feeling rushed.
We strive to deliver exceptional services with incredible results and a unique patient experience by
utilising our advanced technology which provides a gentle touch. We hope you enjoy our modern,
welcoming and friendly environment, and invite you to join our family of valued patients.
Crown and Bridge Dental Crowns and Onlays - Replacement of a single tooth
Crowns are very durable and designed to match the shape, size and color of natural teeth. They are used to cover a
damaged tooth, improve its appearance, shape or alignment, replace a large filling when there isn't enough tooth
structure remaining, to protect a weak tooth from fracturing or cover a tooth after root canal treatment.
A crown can also be placed on top of an implant to provide a tooth-like shape and structure for aesthetics and
function. A crown is a cost-effective restorative option for a broken down tooth.
Dental Bridges - Replacement of multiple adjacent teeth
Dental bridges are used to fill the space resulting from missing or extracted teeth. They help to restore your smile,
chewing, and speaking ability.
There are several types of fixed dental bridges including conventional fixed bridges, cantilever bridges and resin-bonded
bridges. The type of bridge recommended depends upon many factors, the main one being the location within the mouth the bridge
will be placed and also whether you clench or grind your teeth.
Selwyn Dental has the ability to fabricate your crown or bridges digitally on-site using the latest dental
technologies. From the utilisation of chairside intra-oral scanners to obtain a digital 'impression' of your teeth,
to the design and manufacture of your customised appliance within our inhouse lab,
we are able to control the process from start to finish. We employ state-of-the-art dental milling machines and
3D resin printers, together with high-strength metal-free materials such as zirconia or glass ceramic to provide
restorations of the highest quality.
Composite Restorations
Bonded Composite Restorations are the safest, most biocompatible and conservative way of restoring decayed, fractured
and/or worn teeth; returning the tooth back to health and function as well as providing a highly aesthetic appearance.
This type of adhesive filling material bonds directly to the remaining tooth structure, allowing tooth preparation to be
kept to a minimum, reducing the likelihood of further undermining the remaining tooth structure.
These restorations may be used as less invasive alternatives to more traditional crowns and inlays. Bonded composite
materials are available in a wide range of shades, closely matching the appearance of adjacent tooth structure.
Veneers
Porcelain dental veneers are custom made thin porcelain shells that are placed on the front of the teeth to
improve their appearance. Veneers can correct and alter the size, shape, colour, and length of the teeth they cover.
The shells are permanently cemented to the teeth, creating a lasting outcome. Porcelain veneers can be placed on one
or several teeth to achieve the desired effect.
Make an appointment today to discuss all your cosmetic needs.
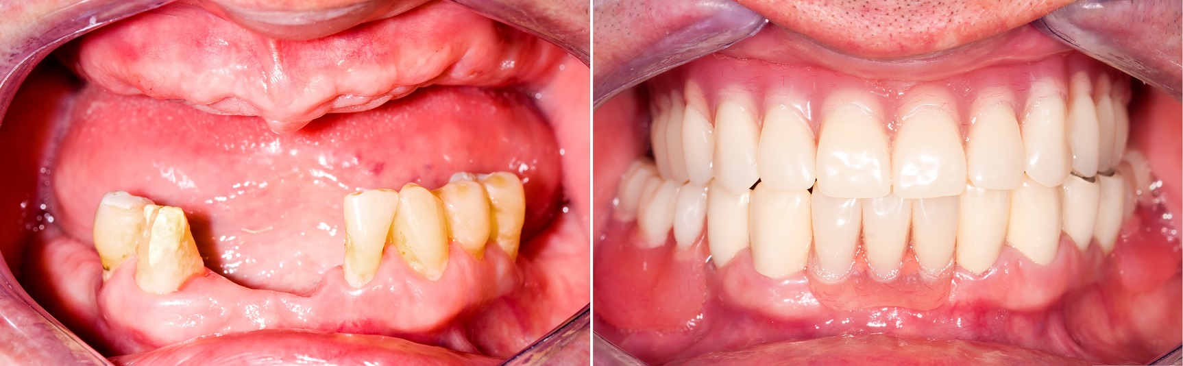
Full Mouth Rehabilitation
A full mouth rehabilitation is required to rebuild your teeth when your bite has collapsed, is
unstable or you have multiple missing or heavily filled teeth. Implants, crown and bridgework and/or
partial or full dentures can be used to restore your bite to a more functional and stable position. A
diagnostic wax up and a digital smile design is carried out to visualise the end result of the reconstruction.
Provisional restorations are used to get an idea of what the final result would be like before having the final
restorations made. These also allows you to have input into your appearance giving you the opportunity to show
friends and family what your teeth may look like when the work is complete.
The stabilisation phase of a full mouth rehabilitation may take months or years depending on the stability of
your oral environment, your gum health and risk and activity indicators of decay processes. It is vital that your
remaining teeth and gums are healthy before commencing a full mouth rehabilitation.
Once the reconstruction is complete maintenance and regular ongoing dental and hygiene visits will be essential
for the long term success of your restoration.
Whitening
Teeth whitening is designed to reduce staining and brighten your teeth. Several methods are available to
whiten teeth, including over-the-counter and professional treatments, which can be used at home or applied in the office.
Nowadays whitening products are readily available in the market, but you should select your options with caution.
Some types of teeth whitening can be abrasive and/or have excessive acidity levels. "Natural" whiteners like charcoal
can wear down your enamel and result in sensitivity and damage to the tooth structures. Over-the-counter products
like whitening toothpastes and strips can offer a simple way to "touch-up" your smile, but they rarely can get your
teeth noticeably whiter. Professional treatments use much stronger versions of whitening agents.
At Selwyn Dental we offer at home whitening. We use professional grade carbamide peroxide that is placed in a customised
dental tray that you wear for a specified amount of time each day for about two weeks.
Professional teeth whitening can get your teeth much whiter and for much longer than over the counter options. For many
patients, it can be several shades lighter, but everyone has their genetically determined maximum shade. We will go over
what to expect during your consultation.
Smile Makeover
Your smile is one of the first things others notice about you, so you should feel confident with it.
At Selwyn Dental a smile analysis begins with a comprehensive assessment of your concerns about your smile.
We consider the function, health, and aesthetics of each tooth, as well as your smile as a whole. We will
discuss all treatment options and together, we can design a custom treatment plan and get started on your new,
beautiful, fully functional smile.
The available cosmetic dental procedures include:
Teeth whitening to make teeth look whiter
Enhancing smile aesthetics with porcelain or composite veneers options
Filling cavities with tooth-colored materials
Reshaping of teeth, closing gaps between teeth
We use artistry, sound technical skills and innovative technologies in the application of the various cosmetic
procedures that will enhance the quality of your smile. To discuss your needs further make an appointment today.
A stunning new smile awaits!.
Dentures
When some or all of your teeth have been lost a denture can help to restore your smile, provide function and
lip support. Some people require immediate dentures which are designed to be used on the same day that your teeth
are removed.
At times due to a lack of supporting bone on your jaw, dentures can become uncomfortable and non functional making
it difficult for your to eat, smile and speak. In this instance implants can be used to secure a denture to your
jaw bone. These are known as implant overdentures and can help people with severe jaw-bone loss to have a secure
and functional prosthesis.
The procedure involves placing two or more implants usually into the lower jaw bone. Once the implants integrate
into the bone, a denture is then made to fit over the top of the implants. Small clips (known as locators) are used
to join the implants to the dentures. Implant overdentures are able to be removed and be cleaned.
Oral Surgery Surgical and common extractions
Whilst we endeavour to do everything possible to keep your natural teeth, there will unfortunately be a time for
some patients to have a tooth or multiple teeth removed for health reasons. To do this our treatment rooms
are equipped with the latest x-ray diagnostic and surgical equipment to ensure that any extractions are
performed in a safe and comfortable environment.
We are ready to help with any type of dental extraction, from simple non-surgical extractions of loose teeth to
full clearances and wisdom teeth removal, including complex surgical extractions.
In regards to wisdom teeth extraction, we first and foremost perform a careful examination to determine whether
or not the teeth need to be removed on a case-by-case basis. Sometimes a wait-and-see approach is indicated, other
times removing the teeth is preferred to prevent further impaction, decay, and/or gum disease.
What happens after an extraction?
Restoring a missing tooth is not only important for your smile and self-confidence, it is also important to
correct the dental health issues associated with missing teeth. Missing teeth can change a person's bite, shift
their remaining teeth, accelerate localised bone loss or cause speech impediments or TMJ problems. There is
also a higher risk for periodontal disease and tooth decay if missing teeth are not replaced in a timely manner.
In some cases a tooth can be extracted and an implant placed at the same time, this is commonly known as immediate
implant placement. This advanced technique keeps you from waiting weeks (or months) for the extraction site to
heal before coming back in for an implant placement. At times we may be unable to place an immediate implant but
we may be able to prepare the area for future implant placement and prevent bone resorption. We do this through
socket preservation procedures.
Make an appointment today to
discuss if you are a candidate for an immediate implant placement following a tooth
extraction. We'll also review other restoration options to find a solution that you will be happy with.
Hygiene What is Gum disease?
Gum disease (or Gingivitis) is a mild form of gum disease and if not diagnosed and treated it can often progress to Periodontal disease. It is characterised
by red/swollen gums and the presence of bleeding while cleaning. Gingivitis can be treated and reversed by professional cleaning by a Hygienist and effective
home care.
How is gum disease treated?
Treatment is provided by a registered Dentist or Hygienist. At Selwyn Dental we are able to provide the services of a Hygenist from
FLOSS Oral Hygiene.
Periodontal Treatment What is periodontal disease?
Periodontal disease (or Periodontitis) is a bacterial disease that destroys the supporting mechanism of your teeth - your gums and
bone. It is usually caused by plaque and calculus build-up around the surface of your teeth. If left untreated
periodontal disease can lead to tooth loss.
Symptoms of gum disease can include:
Swollen gums that bleed easily
Sensitive teeth
Bad breath
Gum recession and bone loss
The all body connection
Our mouths are full of bacteria - some are harmless, and some are problematic. Without good oral hygiene,
"bad bacteria" can cause serious issues in your mouth like tooth decay and periodontal disease.
Periodontal disease is a chronic multifactorial disease. Some people are genetically predisposed and more susceptible
to gum disease. You could have perfect oral hygiene and be a fantastic brusher and flosser and yet still develop disease!
When you are suffering from periodontal disease, the "bad" bacteria and inflammation that's present in your mouth leads
to problems for the rest of your body.
Gum disease has been linked to a variety of other health issues
How is periodontal disease treated?
Scaling and root planing is one of the most common non-surgical methods for stabilising gum disease.
We use specialised equipment to remove all plaque, bacterial toxins, and tartar deposits from your teeth. A local anesthetic
is used to numb your gums and ensure that you are comfortable during the procedure. We also smooth and recontour
any rough areas on your root surfaces. This advanced dental cleaning encourages your gums to heal and reattach
themselves more firmly.
If your gum disease is advanced, surgical periodontal therapy may be required to address the condition. The procedure
involves folding back your gum tissue and removing the offending bacteria. This procedure is important not only because
the bacteria needs to be removed, but also to aid to improve the access to the area, cleaning and maintenance with at
home hygiene procedures. If these techniques cannot successfully repair the damage done by periodontal disease, gum
and bone grafting procedures can be considered. After each phase of therapy we will allow time for healing and then
will reassess the success of the treatment.
Dental Implants
Tooth loss is usually caused by decay, gum disease or injury. Treatment options available for missing teeth include
bridges, dentures and dental implants.
Dental implants are a highly recommended solution for restoring function and aesthetics. In most cases, anyone
healthy enough to undergo a routine dental extraction or oral surgery can consider dental implants. Implants are
a definitive option for missing teeth and they offer a host of advantages:
They are biocompatible
Both titanium and zirconium implants encourage the growth of healthy bone and gum tissue.
Easily customisable to meet your needs
Custom-made reconstructions can match the appearance and function of your natural teeth.
A long-lasting solution
Success rates of implants is well above 90% over 10 years. Better than many other restorative options. When properly
cared for, your implant is designed to last decades.
Simple to care for
To maintain bone and gum health around implants we recommend:
Brush and floss daily,
Monitor any changes in your dental health, and
Maintain your recommended check-ups and cleans.
What are dental implants?
Dental Implants are a small, screw-like cylinder made of titanium that replaces the root portion of the missing tooth. It's
placed in the bone of the jaw and serves as an anchor to support an artificial tooth replacement.
When Is An Implant Used?
To replace one or more missing teeth without affecting adjacent teeth
To resolve bite problems caused by teeth shifting and overerupting into remaining spaces
To restore chewing function, speech and aesthetics
To support a denture, making them more secure and comfortable
To reduce gum irritation associated with traditional dentures
To reduce unsightly gaps between teeth
Implant Failure
Signs your dental implant could be failing:
Discomfort and pain
Loose and mobile implant
Gum swelling and inflammation
Gum recession around the implant
Implant failure is multifactorial. Causative factors include:
Gum disease
Insufficient jaw bone
Various medical conditions
Poor dental hygiene
Improper implant placement
We are highly experience in the remedial treatment for failing restorations. Our recommendation for
repairing your implant will depend on an array of factors.
If we catch a problem early on, we'll take preventive measures to stabilize the implant and address
the issue at the source. If the failure is too advanced we may need to remove the failed implant.
In some cases, a new implant can be placed immediately. Additional measures may also be required, such as a
bone grafting procedure to help support your new implant. In severe cases immediate placement is not possible
and it could take several months before your implant area is healed sufficiently to be able to place another
implant.
To answer any further questions you may have, please schedule your implant consultation
today.
Sinus Lift
Implant therapy requires sufficient quantity and quality of bone to be present to allow proper placement
of the implant fixture. Many people who need an implant in their upper jaw have insufficient bone to support
the implant. These can include situations such as:
Your jaw bone has previously been damaged
You have suffered bone loss as a result of gum disease
Your jaw bone has resorbed because of tooth loss
You have a naturally large sinus cavity or thin jaw bone
In these cases, a sinus lift may be necessary.
What is a sinus lift?
The upper back jaw is one of the most difficult areas in the mouth to place an implant. It typically has
lower bone quantity and is in close proximity to the sinus. The sinus system has several parts with the
maxillary sinuses sitting closest to your posterior molar teeth.
A sinus lift procedure can provide the sufficient amount of bone required for a successful dental implant.
During a sinus lift procedure, your maxillary sinus membrane is lifted upwards to make space for additional
bone. Bone is then grafted to the site and given time to heal. This is usually around 6 months.
In some instances, depending upon the amount of your own bone remaining in the maxilla, it may be possible to
carry out the sinus lift procedure and place the dental implant at the same time. Make your consultation
today and our team will discuss your individual needs and provide you with options best suited to your circumstances.
Bone Regeneration
The jawbone's main function is to act as a foundation that supports your teeth. But when you lose a tooth or
are born without some teeth, the bone is no longer needed and will slowly start to dissolve - a process known
as resorption.
Gum disease can also contribute to loss of bone and hard tissue around your teeth. If you've lost a tooth due
to gum disease, caries or trauma and are considering an implant, a bone graft may be necessary to ensure the
implant is a success. The procedure we use is called Guided Bone Regeneration (GBR). We have successfully
used Geistlich regeneration products in all GBR procedures. You can find more about these
biomaterials.
Osseous Surgery
Gum disease can cause deep, problematic pockets around your teeth. When other treatments aren't enough,
osseous surgery can help in advanced stages of gum disease. Osseous surgery, also called pocket reduction
surgery, involves removing or recontouring damaged bone around the tooth to get rid of these pockets. This
treatment also removes bacteria and tartar to stop the spread of gum disease.
Who needs osseous surgery?
Pocket depth reduction surgery can be suitable in the following cases:
Advanced gum disease
Large amounts of tartar deposits in deep pockets
Inability to get results from non-surgical treatments